ARCROMEGALY - Lantern Jaw
For those newcomers to The Clinic that think this is a joke thread - Lantern Jaw is medically known as Acromegaly.
Wikipedia:-
Acromegaly is a
syndrome that results when the
anterior pituitary gland produces excess
growth hormone (GH) after
epiphyseal plate closure at puberty.
Mandibular overgrowth leads to
prognathism, maxillary widening, teeth separation and jaw
malocclusion.


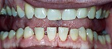
Teeth showing classic teeth gapping due to acromegaly on lower jaw
'Signs and symptoms-
Soft tissue swelling visibly resulting in enlargement of the hands, feet, nose, lips and ears, and a general thickening of the skin.
Soft tissue swelling of internal organs, notably the heart with attendant weakening of its muscularity, and the kidneys, also the vocal cords resulting in a characteristic thick, deep voice and slowing of speech
Generalized expansion of the skull at the
fontanelle
Pronounced brow protrusion, often with ocular distension
Pronounced lower jaw protrusion with attendant
macroglossia (enlargement of the tongue) and teeth gapping
Hypertrichosis,
hyperpigmentation, and
hyperhidrosis may occur in these patients.
[2]:499
Acrochordon (skin tags)
Carpal tunnel syndrome
Quote:6. Human growth hormone
Doping athletes use human growth hormone (HGH), also known as somatotropin, for two main reasons:
to increase muscle mass
to increase physical endurance by increasing the ability to withstand fatigue
HGH can be taken orally or injected.
The main undesirable effects of human growth hormone are long-bone growth (enlarged feet, deformities), lengthening of the jawbone (with resulting loosening of the teeth), osteoarthritis, impaired thyroid function, cardiovascular disorders (heart disease, hypertension, strokes), psychological problems (irritability, mood swings, depression, psychosis), and risks of diabetes and cancers.
http://www.theage.com.au/afl/afl-ne...brain-tumour-20100612-y4r2.html#ixzz1MmIECcbQ